差し歯をした歯の歯根水平破折
差し歯をした歯の歯根水平破折
(差し歯の破折・割れ・ぐらつき・脱落)
差し歯した歯の歯根水平破折症例写真
差し歯とは、虫歯や外傷などによって神経を失った歯に対し、残った歯根を利用して人工の歯(ポストコア=土台、クラウン=被せ物)を装着する治療法です。構成要素は「歯根」「ポストコア」「クラウン」の3つで成り立っています。
歯根水平破折に至る経緯
差し歯をした歯が破折に至る典型的な流れは以下の通りです:
1. 差し歯(ポストコア+クラウン)がぐらつき始める
2. 再装着するも短期間で再びぐらつき、やがて脱落
3. 再装着を繰り返すうちに、歯根が水平に破折し、最終的に抜歯が必要になる
差し歯した歯の歯根水平破折が起こりパターンには、以下の2つがあります:
• ぐらつき始めた時点ですでに歯根が折れているケース
• 差し歯がぐらつき、歯根から外れかけた後に破折するケース
差し歯にぐらつきが見られた場合は、何らかの異常が起きている可能性が高いため、早期の診察・治療を強く推奨します。
よくある原因
差し歯の脱落や歯根破折の主な原因は以下の通りです:
1. 過度な力の加わり:硬いものを噛んだ、転倒などの外傷、異常な歯ぎしりなど
2. 歯根の脆弱性:歯根が薄い・短いなど、構造的に弱い場合
3. 治療の不備:クラウンやポストコアの不適合・不適正な設計
4. 噛み合わせの問題:歯列不正などによる咬合異常
5. 歯根と骨の癒着:歯根が骨と癒着し、力の逃げ場がなくなることで破折しやすくなる
治療の選択肢
破折した歯の治療は大きく以下の2つに分かれます:
• 保存治療:破折した歯根を可能な限り残す方法
• 欠損治療:抜歯後にインプラント、ブリッジ、入れ歯などで補う方法
どちらを選択するかは、歯の状態、隣接歯の状況、骨量、噛み合わせ、そして患者の希望によって決定されます。
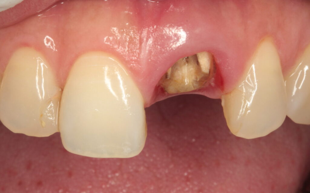
差し歯した歯の歯根破折に対しての保存治療

歯根が水平に破折すると、歯肉の縁よりも深い位置に歯根が残る状態となり、このままでは再び差し歯(ポストコア+クラウン)を装着することができません。無理に差し歯を装着しても、安定せず短期間で脱落してしまいます。
そのため、歯根を何らかの方法で歯肉の上に十分露出させ、差し歯が長期的に維持できる状態に整える必要があります。
歯根を露出させる方法は主に2つあります:
1. クラウンレングスニング
歯肉や周囲の骨を外科的に削除し、歯根の露出量を増やす方法です。
2. エクストルージョン(矯正的挺出)
歯根を矯正的に引き上げることで、歯肉の上に歯根を出す方法です。
いずれの方法を選択する場合でも、保存治療の最低条件として「健全な歯根が10mm以上残っていること」が求められます。歯根の長さが不足している場合は、保存治療が困難となり、抜歯を含む他の治療法の検討が必要です。
参考症例①
エクストルージョン法(矯正的挺出)を行い、クラウンレングス(歯周外科)
ダウエルポスト(土台)+セラミッククラウン修復法

1、術前の状態 前歯をぶつけて差し歯が脱離して同時に歯根が折れてしまった。 歯根には破折線(ひび)が認められたが炎症はなく、破折線に接着材を流し保存する事とした。(図1の状態)

2、2本の前歯に矯正用の仮歯を装着して、右の前歯をゴムで牽引して矯正的延出を行っ手いる状態の表側と裏側。
(図2の状態)

3、右の前歯が矯正的挺出が終了した状態。歯を引っ張りあげることで歯肉も一緒に上がってくる。(図3の状態)

4、歯周外科処置を行って歯肉を切除して下げた状態。(図4の状態)

5、ファイバー樹脂の土台を入れて歯を補強した状態。(図5の状態)

6、前歯2本にオールセラミッククラウンを装着した状態。(図6の状態)


セラミック修復
奥歯を複数失ってしまった際の欠損治療
長期維持するクラウン&ポストコアの5つの基本原則
歯の破折に対する、矯正的歯の挺出とその限界